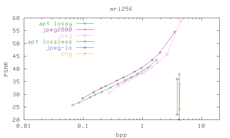
Results for mri256 256 x 256

Thumbnail
PSNR/bpp graph